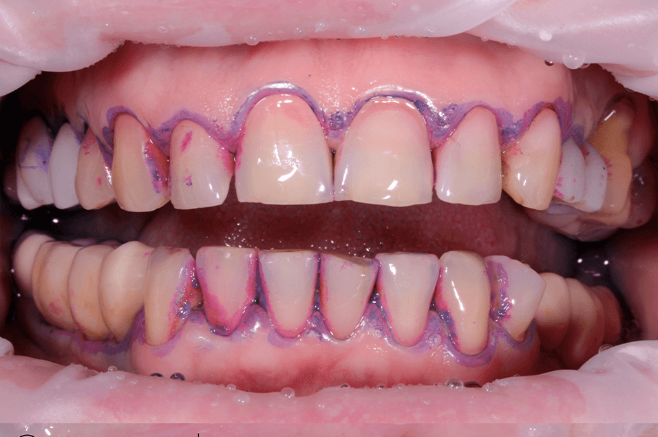
БИОПЛЁНКА
ПРАКТИЧЕСКИ
НЕЗАМЕНТНА
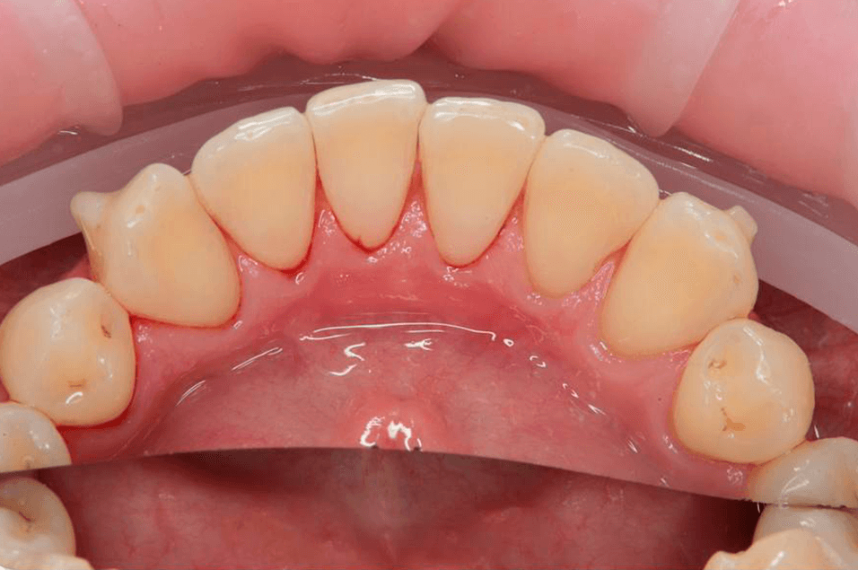
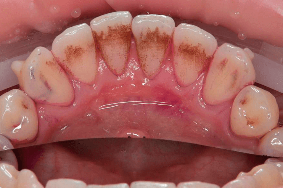
Мягкий налёт на поверхности зубов
состоит из миллионов разных видов
бактерий, хороших и плохих. Они
прекрасно себя чувствуют в полости рта и
питаются употребляемой пищей, особенно
сахаром. Бактерии биоплёнки преобразуют
сахар в кислоты, которые вызывают
кариес. Такое скопление микроорганизмов
является биоплёнкой полости рта (зубным
налётом). С каждым днём биоплёнка
растёт и едва заметна невооруженным
глазом. Благодаря всем этим факторам,
полость рта является идеальным местом
проникновения бактерий внутрь
организма.